Facettes 3
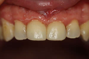
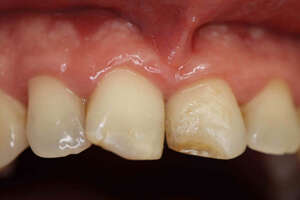
Homme de 32 ans complexé par ses incisives centrales supérieures tachées et mal positionnées, traité en une séance par deux facettes sur les dents concernées.
Homme de 32 ans complexé par ses incisives centrales supérieures tachées et mal positionnées, traité en une séance par deux facettes sur les dents concernées.
199, route d'Oberhausbergen
67200
Strasbourg
| Lundi | 9h - 13h, 15h - 19h |
| Mardi | 9h - 12h, 14h - 19h |
| Mercredi | 9h30 - 12h30, 13h - 18h |
| Jeudi | 9h - 12h, 14h - 19h |
| Vendredi | 9h - 12h, 13h - 17h |
| Samedi | 9h - 12h, 14h - 17h |
| Dimanche | Fermé |
Vidéo en cours de lecture
