Couronnes 2
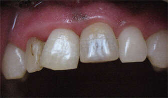
Homme de 34 ans avec trois incisives à couronner. On en profite pour réaligner l’ensemble. Traité en 1 séance.
Homme de 34 ans avec trois incisives à couronner. On en profite pour réaligner l’ensemble. Traité en 1 séance.
199, route d'Oberhausbergen
67200
Strasbourg
| Lundi | 9h - 13h, 15h - 19h |
| Mardi | 9h - 12h, 14h - 19h |
| Mercredi | 9h30 - 12h30, 13h - 18h |
| Jeudi | 9h - 12h, 14h - 19h |
| Vendredi | 9h - 12h, 13h - 17h |
| Samedi | 9h - 12h, 14h - 17h |
| Dimanche | Fermé |
Vidéo en cours de lecture
