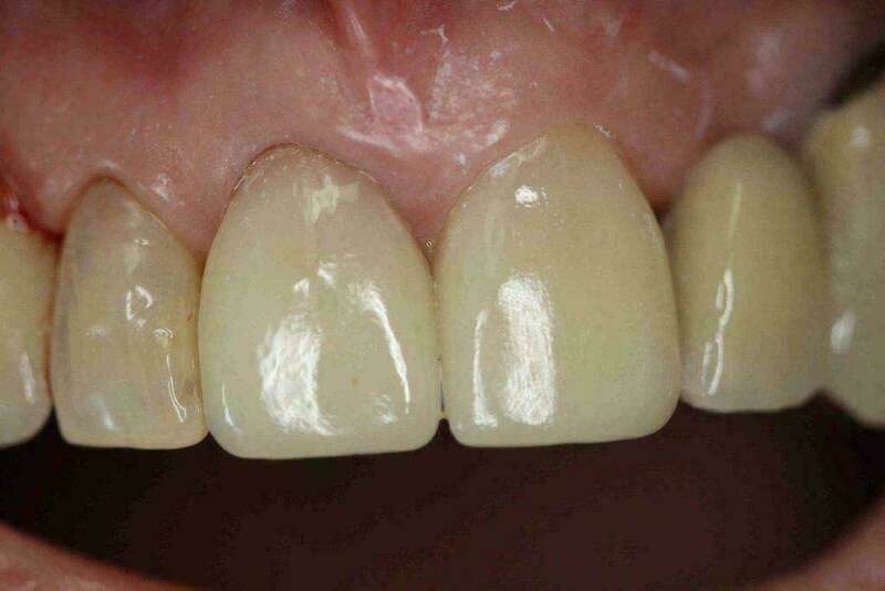
Femme de 70 ans présentant de fortes attritions sur les incisives centrales supérieures, traitée en une séance par une facette sur la dent gauche (la plus à droite de l’écran) et une couronne sur la dent droite, l’ensemble par le procédé CEREC pour un rendu esthétique optimal.
Facettes 3
