Facettes 2
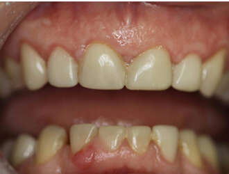
Femme de 55 ans présentant de fortes abrasions des dents antérieures suite à du bruxisme (grincement des dents), traitée par 12 facettes en 3 séances.
Femme de 55 ans présentant de fortes abrasions des dents antérieures suite à du bruxisme (grincement des dents), traitée par 12 facettes en 3 séances.
199, route d'Oberhausbergen
67200
Strasbourg
| Lundi | 9h - 13h, 15h - 19h |
| Mardi | 9h - 12h, 14h - 19h |
| Mercredi | 9h30 - 12h30, 13h - 18h |
| Jeudi | 9h - 12h, 14h - 19h |
| Vendredi | 9h - 12h, 13h - 17h |
| Samedi | 9h - 12h, 14h - 17h |
| Dimanche | Fermé |
Vidéo en cours de lecture
