Les couronnes et les bridges au cabinet du Docteur Martin à Strasbourg 67
Il est essentiel, lorsqu’une dent est endommagée ou manquante, qu’elle soit rapidement réparée ou remplacée par une dent artificielle. Cela permet d’améliorer non seulement l’apparence de la personne mais aussi la santé dentaire en général.
Outre le cas extrême du dentier et de l’appareil mobile, il y a deux façons de réparer ou de remplacer des dents manquantes :
les couronnes et les bridges.
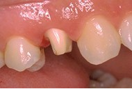
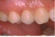
La couronne est un recouvrement ou remplacement artificiel de la partie visible d’une dent. Faite de porcelaine ou d’un alliage de métaux, recouvert ou non de porcelaine, elle peut être utilisée pour des dents brisées, avec de grosses obturations ou dévitalisées. Elle recouvre partiellement ou entièrement la dent affaiblie et la protège de façon permanente.
La pose d’une couronne demande au moins deux séances de travail. Lors du premier rendez-vous, nous prenons l’empreinte de la dent et préparons une couronne temporaire. L’empreinte inclut les dents voisines pour s’assurer que la couronne définitive soit parfaitement ajustée. A la séance suivante, nous enlevons la couronne temporaire, vérifions l’ajustement, la forme, la couleur de la couronne permanente, puis la collons définitivement en place redonnant ainsi à la dent soignée sa fonction et son apparence.
La couronne est très solide et peut durer, si l’on en prend bien soin, une dizaine d’années, sinon plus.
Le bridge est un procédé de remplacement d’une ou plusieurs dents absentes. Il est fixé en permanence sur les dents voisines (il ne s’enlève jamais). Le Chirurgien-Dentiste commencera par préparer les dents naturelles qui serviront de support au bridge.
A partir des empreintes de la bouche, le Chirurgien-Dentiste fera fabriquer le bridge et le placera dans la bouche en le collant sur les dents déjà préparées. Cette prothèse, très solide, peut, avec de bons soins professionnels complétés par un bon entretien à domicile, durer plusieurs années.
Il est important de remplacer rapidement les dents manquantes pour empêcher les dents voisines de se déplacer. En effet, cela provoque ainsi des risques de douleurs à distance (Maux de tête, problèmes articulaires). D’autre part, l’absence d’une ou plusieurs dents implique que les dents restantes supportent une plus grande charge pendant la mastication. Dans certains cas, ceci peut sérieusement compromettre la durée de vie de ces dents.
Les soins de restauration que sont les couronnes et les bridges sont faits pour redonner aux dents, dans la mesure du possible, leur éclat, leur force, leur fonction…et permettent ainsi de pouvoir continuer à rire et sourire de toutes ses dents. Consultez-nous, nous répondrons à toutes vos questions et nous vous proposerons les soins requis par l’état de votre santé buccale.
DR Philippe MARTIN et son équipe - Strasbourg 67
